Jurnalis : Rayyan Malik
Penyakit saraf yang dikenal sebagai multiple sclerosis (MS) telah menjadi perhatian global dalam beberapa tahun terakhir. Penelitian terbaru menunjukkan bahwa jumlah penderita MS meningkat secara signifikan, meskipun di Indonesia penyakit ini masih dianggap langka. Namun, tren peningkatan ini menggarisbawahi pentingnya pemahaman yang lebih mendalam tentang penyakit ini, termasuk gejala, penyebab, dan cara pengobatannya.
Multiple sclerosis adalah kondisi autoimun yang menyerang sistem saraf pusat, terutama otak dan sumsum tulang belakang. Penyakit ini menyebabkan kerusakan pada mielin, lapisan lemak yang melindungi serabut saraf. Kerusakan ini mengganggu transmisi sinyal saraf, sehingga memengaruhi fungsi tubuh secara keseluruhan. Meski tidak selalu fatal, MS bisa berdampak serius pada kualitas hidup penderitanya, terutama jika tidak segera ditangani.
Dalam artikel ini, kita akan membahas berbagai aspek penting tentang MS, mulai dari definisi dan penyebab hingga diagnosis dan pengobatan. Informasi ini dirancang untuk memberikan wawasan yang jelas dan bermanfaat bagi siapa pun yang ingin memahami lebih dalam tentang penyakit ini.
Apa Itu Multiple Sclerosis?
Multiple Sclerosis (MS) adalah penyakit autoimun yang menyerang sistem saraf pusat. Penyakit ini terjadi ketika sistem kekebalan tubuh secara keliru menyerang mielin, yaitu lapisan lemak yang melindungi serabut saraf. Akibatnya, komunikasi antara otak dan tubuh terganggu, yang dapat menyebabkan berbagai gejala neurologis.
MS bisa memengaruhi fungsi motorik, sensorik, dan kognitif. Kondisi ini biasanya muncul pada usia dewasa muda, antara 15 hingga 50 tahun. Meskipun penyakit ini tidak selalu menyebabkan kematian, dampak jangka panjangnya bisa sangat parah, terutama jika tidak dikelola dengan baik.
Faktor Risiko dan Penyebab Multiple Sclerosis
Banyak faktor yang berkontribusi pada risiko terkena MS. Salah satu penyebab utamanya adalah gangguan pada sistem kekebalan tubuh, yang menyerang mielin secara keliru. Selain itu, infeksi virus seperti Epstein-Barr (EBV) juga dikaitkan dengan peningkatan risiko MS pada individu dengan predisposisi genetik.
Faktor lain yang meningkatkan risiko MS meliputi:
- Riwayat keluarga dengan MS
- Kekurangan vitamin D
- Merokok
- Obesitas pada masa kanak-kanak atau remaja
- Tinggal di daerah dengan iklim dingin
- Jenis kelamin wanita memiliki risiko dua kali lebih tinggi dibandingkan pria
Meskipun faktor-faktor ini meningkatkan risiko, bukan berarti setiap orang dengan risiko tinggi pasti akan terkena MS. Pemahaman yang tepat tentang faktor risiko sangat penting untuk pencegahan dan deteksi dini.
Gejala Umum Multiple Sclerosis
Gejala MS bisa sangat bervariasi dari satu penderita ke penderita lainnya. Beberapa gejala umum yang sering dialami oleh penderita MS meliputi:
- Kelemahan otot, terutama di kaki
- Mati rasa dan kesemutan di tangan atau kaki
- Masalah keseimbangan dan koordinasi
- Gangguan penglihatan, seperti penglihatan kabur atau ganda
- Kelelahan ekstrem
- Kesulitan berpikir, mengingat, atau berkonsentrasi
- Nyeri pada otot, sendi, atau wajah
- Gangguan fungsi usus dan kandung kemih
- Depresi dan kecemasan
Beberapa gejala mungkin bersifat sementara, sementara yang lain bisa permanen. Penting untuk mencari diagnosis dini agar pengobatan bisa dilakukan lebih efektif.
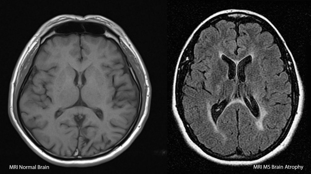
Diagnosis Multiple Sclerosis
Diagnosis MS merupakan proses yang kompleks karena gejalanya bisa mirip dengan kondisi medis lainnya. Dokter biasanya melakukan anamnesis dan pemeriksaan fisik untuk mengidentifikasi gejala dan riwayat kesehatan pasien. Selanjutnya, pemeriksaan penunjang seperti MRI dan tes darah digunakan untuk memastikan adanya kerusakan mielin.
Tes potensial yang ditimbulkan (evoked potentials) juga digunakan untuk mengukur kecepatan sinyal saraf. Kombinasi dari gejala neurologis, bukti kerusakan mielin, dan distribusi waktu gejala menjadi dasar diagnosis MS.
Pengobatan dan Perawatan Multiple Sclerosis
Tujuan utama pengobatan MS adalah untuk mengendalikan gejala, memperlambat perkembangan penyakit, dan meningkatkan kualitas hidup penderita. Saat ini belum ada obat yang bisa menyembuhkan MS sepenuhnya, tetapi berbagai jenis pengobatan tersedia untuk mengelola kondisi ini.
Beberapa pengobatan yang umum digunakan meliputi:
- Obat modifikasi penyakit (DMTs) seperti interferon beta, glatiramer asetat, dan fingolimod
- Kortikosteroid untuk mengurangi peradangan
- Obat gejala seperti obat pelemas otot dan pereda nyeri
- Fisioterapi untuk meningkatkan kekuatan dan keseimbangan
- Terapi okupasi untuk membantu adaptasi kehidupan sehari-hari
- Konseling psikologis untuk mengatasi stres dan depresi
Pengobatan harus disesuaikan dengan kebutuhan individu, dan diperlukan evaluasi berkala untuk menentukan kombinasi terapi yang paling efektif.
Pentingnya Konsultasi dengan Dokter Spesialis
Konsultasi dengan dokter spesialis saraf sangat penting untuk diagnosis dan pengelolaan MS. Di RS Royal Progress, para ahli saraf seperti dr. Daniel N. H. D, Msi., Med., Sp.N; dr. Imelda Cristy, Sp.N., Msi., Med; dan dr. Wariyah Lawole, Sp.N, siap memberikan layanan konsultasi dan perawatan yang optimal.
Jika Anda merasa memiliki gejala yang mengkhawatirkan, segera kunjungi IGD 24 Jam RS Royal Progress di nomor telepon 08190 6511 008. Dengan diagnosis dini dan pengobatan yang tepat, penderita MS bisa menjalani kehidupan yang lebih stabil dan nyaman.
Sumber Informasi Tambahan
Untuk informasi lebih lanjut tentang multiple sclerosis, Anda dapat mengunjungi sumber-sumber berikut:


Komentar