Kesehatan | • September 16, 2025 • Lowongan Kerja Security Rumah Sakit Mata Achmad Wardi (RSAW) adalah salah satu institusi kesehatan yang berkomitmen untuk memberikan...
Kesehatan | • September 16, 2025 • Mata Berkedut Tanda Akan Menangis? Cek Fakta! Mata berkedut sering kali menjadi perhatian bagi banyak orang, terutama ketika mengalami kondisi tersebut secara...
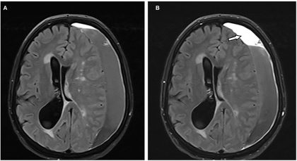
Kesehatan | • September 16, 2025 • Hematoma Subdural: Penyebab, Gejala, Jenis dan Pengobatan Subdural hematoma adalah kondisi medis yang serius dan memerlukan penanganan segera. Kondisi ini terjadi ketika...
Kesehatan | • September 16, 2025 • Operasi Angkat Rahim: Prosedur, Indikasi, dan Efek Samping Operasi angkat rahim, atau histerektomi, merupakan salah satu prosedur bedah yang sering dilakukan pada wanita...
Kesehatan | • September 16, 2025 • Mengenal Prosedur PCNL untuk Batu Ginjal dan Keunggulannya Batu ginjal sering kali menjadi masalah kesehatan yang sangat mengganggu, terutama bagi mereka yang mengalami...
Kesehatan | • September 16, 2025 • Prosedur EVLA untuk Pengobatan Varises: Cara Kerja dan Keunggulannya Varises adalah kondisi yang sering dianggap sebagai masalah estetika, tetapi sebenarnya bisa menyebabkan rasa tidak...