Jurnalis : Rayyan Malik
Subdural hematoma adalah kondisi medis yang serius dan memerlukan penanganan segera. Kondisi ini terjadi ketika darah mengumpul di ruang antara otak dan selaput otak, yang bisa menyebabkan tekanan berlebih pada otak. Meski kadang tidak disertai cedera fisik yang terlihat, perdarahan internal ini bisa berujung pada kehilangan kesadaran atau bahkan kematian jika tidak ditangani dengan tepat. Dalam artikel ini, kita akan membahas secara lengkap tentang penyebab, gejala, jenis, serta cara pengobatan subdural hematoma. Selain itu, kami juga akan memperluas informasi dengan data terbaru hingga tahun 2025 untuk memberikan pandangan yang lebih komprehensif.
Kondisi ini bisa muncul akibat trauma kepala, seperti kecelakaan mobil, jatuh, atau benturan keras. Namun, pada lansia, bahkan benturan ringan bisa menjadi pemicu karena atrofi otak yang alami. Penyebab lain termasuk penggunaan obat antikoagulan atau riwayat konsumsi alkohol. Dengan demikian, penting bagi setiap individu untuk waspada terhadap tanda-tanda awal yang muncul, seperti nyeri kepala hebat, mual, dan perubahan perilaku. Pemahaman yang baik tentang subdural hematoma dapat membantu dalam pencegahan serta penanganan dini.
Artikel ini juga akan menjelaskan bagaimana diagnosis dilakukan, termasuk penggunaan teknologi pencitraan seperti CT scan dan MRI. Selain itu, kami akan membahas metode pengobatan, mulai dari pengobatan konservatif hingga tindakan bedah seperti kraniotomi. Kami juga akan meninjau komplikasi yang bisa muncul, seperti kejang, pergeseran otak, atau kerusakan saraf permanen. Dengan informasi yang diperbarui hingga tahun 2025, artikel ini bertujuan untuk memberikan panduan yang akurat dan bermanfaat bagi masyarakat luas.
Apa Itu Subdural Hematoma?
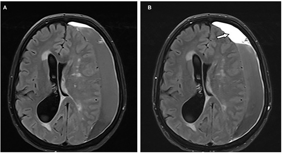
Subdural hematoma adalah kondisi medis yang terjadi ketika darah mengumpul di ruang antara otak dan selaput otak (duramater). Ruang ini disebut sebagai ruang subdural, yang merupakan area yang sangat rentan terhadap cedera. Perdarahan ini bisa terjadi akibat robeknya pembuluh darah yang terletak di bawah duramater. Kondisi ini bisa terjadi secara mendadak atau berkembang secara bertahap, tergantung pada jenis dan intensitas trauma yang dialami.
Pada kasus yang ringan, darah yang terkumpul bisa hilang sendiri tanpa perlu intervensi medis. Namun, jika volume darah meningkat, tekanan pada otak bisa semakin besar dan berpotensi merusak fungsi otak. Kondisi ini bisa berbahaya, terutama jika tidak segera didiagnosis dan ditangani. Diagnosis biasanya dilakukan melalui pencitraan medis seperti CT scan atau MRI, yang membantu dokter melihat lokasi dan ukuran hematoma.
Gejala yang Muncul
Gejala subdural hematoma bisa bervariasi tergantung pada kecepatan perdarahan, lokasi, dan tingkat keparahan. Pada kasus akut, gejala bisa muncul secara tiba-tiba, seperti pingsan, disorientasi, atau kehilangan kesadaran. Sementara itu, pada kasus kronis, gejala bisa muncul secara perlahan dan sulit dideteksi. Beberapa gejala umum yang muncul meliputi:
- Nyeri kepala hebat yang semakin memburuk
- Mual dan muntah
- Kesulitan berbicara atau bicara melantur
- Disorientasi atau kebingungan
- Perubahan perilaku
- Mati rasa pada satu sisi tubuh
- Kelemahan pada satu sisi tubuh
- Kelelahan ekstrem dan kehilangan energi
- Gangguan penglihatan
- Tidur berlebihan atau sulit dibangunkan
Jika gejala-gejala ini muncul setelah cedera kepala, segera cari pertolongan medis. Keterlambatan dalam diagnosis dan pengobatan bisa berakibat fatal.
Jenis-Jenis Subdural Hematoma
Berdasarkan waktu perkembangan perdarahan, subdural hematoma dibagi menjadi tiga jenis utama:
-
Subdural Hematoma Akut
Terjadi akibat cedera kepala yang parah, seperti kecelakaan mobil atau jatuh dari ketinggian. Perdarahan terjadi secara mendadak dan bisa menyebabkan gejala yang cepat, seperti pingsan atau kehilangan kesadaran. Kondisi ini membutuhkan tindakan segera untuk mencegah kerusakan otak yang lebih parah. -
Subdural Hematoma Subakut
Perdarahan terjadi secara bertahap, biasanya dalam hitungan hari atau minggu. Gejalanya bisa lebih ringan tetapi tetap memerlukan perawatan medis. Jika tidak ditangani, kondisi ini bisa berkembang menjadi akut. -
Subdural Hematoma Kronis
Biasanya menimpa lansia yang memiliki atrofi otak alami. Trauma kepala ringan bisa memicu perdarahan yang berkembang lambat. Gejalanya bisa mirip dengan kondisi lain seperti demensia atau stroke, sehingga diagnosis bisa lebih sulit.
Penyebab Utama Subdural Hematoma
Penyebab utama subdural hematoma adalah cedera kepala yang parah, baik akibat kecelakaan, jatuh, atau kekerasan. Namun, ada beberapa faktor risiko lain yang bisa meningkatkan kemungkinan terkena kondisi ini, antara lain:
- Riwayat penggunaan obat antikoagulan (pengencer darah)
- Penggunaan alkohol secara berlebihan
- Usia lanjut, karena atrofi otak dan melemahnya jaringan vaskuler
- Riwayat cedera kepala sebelumnya
- Kondisi medis tertentu seperti gangguan pembekuan darah
Faktor-faktor ini membuat subdural hematoma lebih rentan terjadi pada kelompok tertentu, terutama lansia dan pasien dengan riwayat medis kompleks.
Diagnosis dan Tes Medis
Diagnosis subdural hematoma biasanya dilakukan melalui pencitraan medis seperti CT scan atau MRI. Kedua metode ini memungkinkan dokter melihat struktur otak dan mendeteksi adanya perdarahan. CT scan lebih umum digunakan dalam situasi darurat karena prosesnya lebih cepat, sedangkan MRI memberikan detail yang lebih akurat.
Selain tes pencitraan, dokter juga akan melakukan pemeriksaan fisik dan menanyakan riwayat cedera serta gejala yang dialami pasien. Pemahaman yang baik tentang gejala dan faktor risiko sangat penting untuk diagnosis yang akurat.
Pengobatan dan Tindakan Medis
Pengobatan subdural hematoma bergantung pada tingkat keparahan dan jenis hematoma. Beberapa metode pengobatan yang tersedia meliputi:
-
Pengobatan Konservatif
Untuk kasus ringan, dokter mungkin merekomendasikan istirahat dan observasi. Darah bisa mengalir keluar secara alami tanpa perlu tindakan operasi. -
Obat-obatan
Obat anti-inflamasi atau analgesik bisa digunakan untuk mengurangi nyeri dan peradangan. Namun, penggunaan obat antikoagulan harus dipantau dengan ketat. -
Operasi Otak
Untuk kasus yang parah, tindakan bedah seperti Burr Hole Trephination atau Kraniotomi diperlukan. Burr Hole Trephination melibatkan pembuatan lubang kecil di tengkorak untuk mengeluarkan darah, sementara Kraniotomi melibatkan pemotongan tengkorak untuk akses lebih luas ke area hematoma.
Komplikasi yang Bisa Terjadi
Jika tidak segera ditangani, subdural hematoma bisa menyebabkan komplikasi serius, seperti:
- Herniasi otak (pergeseran otak akibat tekanan berlebih)
- Koma atau kehilangan nyawa
- Kejang
- Perubahan perilaku
- Kerusakan saraf permanen
Komplikasi ini bisa terjadi baik setelah cedera kepala maupun setelah pengobatan. Risiko komplikasi lebih tinggi pada pasien dengan riwayat penggunaan obat antikoagulan atau lansia.
Kapan Harus ke Dokter?
Jika Anda mengalami cedera kepala atau mengalami gejala seperti nyeri kepala hebat, mual, kebingungan, atau mati rasa, segera cari pertolongan medis. Bahkan jika cedera terlihat ringan, perdarahan internal bisa berbahaya. Waspada terhadap gejala-gejala berikut:
- Pingsan sesaat setelah cedera
- Kesulitan berbicara atau berpikir
- Pandangan kabur atau gangguan penglihatan
- Kelelahan ekstrem
- Kelemahan pada satu sisi tubuh
Dokter spesialis saraf atau neurologis bisa memberikan diagnosis dan pengobatan yang tepat. Anda juga bisa melakukan konsultasi online melalui layanan medis resmi.
Sumber Informasi Tambahan
Untuk informasi lebih lanjut tentang subdural hematoma, Anda bisa merujuk pada sumber-sumber berikut:
- Subdural haematoma – NHS UK
- Subdural Hematoma – National Library of Medicine
- Drug treatment of chronic subdural hematoma – National Library of Medicine
- Treatment of acute subdural hematoma – National Library of Medicine
- Subdural Hematoma: Causes, Symptoms, & Treatments – WebMD
- Subdural Hematoma Complications – Healthline
- Subdural Hematoma – Cleveland Clinic


Komentar