Ekonomi | • September 28, 2025 • Beli Mobil Bekas Toyota Alphard dengan Mudah, Aman, dan Terpercaya Membeli mobil bekas kini menjadi pilihan yang semakin populer di kalangan masyarakat Indonesia. Terutama untuk...
Kesehatan | • September 28, 2025 • Rumah Sakit Khusus Mata Berdiri di Kota Serang, Ini Pernyataan Wali Kota Di tengah meningkatnya kesadaran masyarakat akan pentingnya kesehatan mata, hadirnya rumah sakit khusus mata di...
Kesehatan | • September 28, 2025 • Kolesistitis: Penyebab, Gejala, dan Pengobatan Penyakit kolesistitis sering kali dianggap sebagai masalah kesehatan yang tidak terlalu serius, padahal kondisi ini...
Kesehatan | • September 28, 2025 • Cara Menurunkan Kreatinin dan Ureum untuk Kesehatan Ginjal Kesehatan ginjal sering kali diabaikan oleh banyak orang hingga kondisi memburuk dan menyebabkan komplikasi serius....
Kesehatan | • September 28, 2025 • Pasang Ring Jantung: Manfaat, Prosedur, dan Perawatan Pemasangan ring jantung, atau yang dikenal sebagai stent, merupakan prosedur medis penting yang bertujuan untuk...
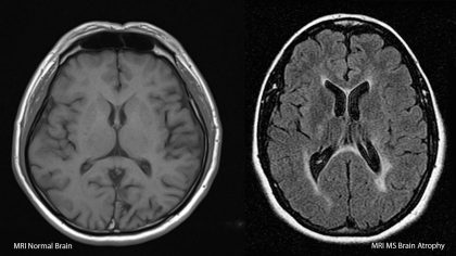
Kesehatan | • September 28, 2025 • Multiple Sclerosis: Definisi, Penyebab, Gejala dan Pengobatan Penyakit saraf yang dikenal sebagai multiple sclerosis (MS) telah menjadi perhatian global dalam beberapa tahun...