Jurnalis : Rayyan Malik
Pembengkakan jantung atau kardiomegali adalah kondisi yang sering kali diabaikan karena gejalanya tidak selalu jelas. Namun, kondisi ini bisa menjadi tanda adanya masalah kesehatan yang lebih serius. Dalam artikel ini, kita akan membahas secara lengkap tentang apa itu pembengkakan jantung, bagaimana gejalanya, penyebabnya, serta cara pengobatannya. Selain itu, kami juga akan memberikan informasi terbaru mengenai pencegahan dan perawatan jantung yang bisa dilakukan sehari-hari.
Kardiomegali tidak selalu menunjukkan penyakit jantung yang permanen. Ada kasus di mana pembengkakan jantung bersifat sementara, misalnya akibat stres atau kehamilan. Namun, jika kondisi ini disebabkan oleh penyakit seperti hipertensi atau gangguan jantung lainnya, maka diperlukan penanganan medis yang tepat. Penting untuk memahami bahwa pembengkakan jantung bisa berdampak pada fungsi jantung secara keseluruhan, sehingga perlu dipantau dengan baik.
Selain itu, masyarakat kini semakin sadar akan pentingnya menjaga kesehatan jantung. Banyak orang mulai melakukan skrining rutin dan mengikuti program pencegahan agar dapat menghindari risiko penyakit jantung. Dengan peningkatan kesadaran ini, banyak rumah sakit dan klinik khusus jantung mulai menawarkan layanan pemeriksaan dan pengobatan yang lebih lengkap dan efektif.
Apa Itu Pembengkakan Jantung?
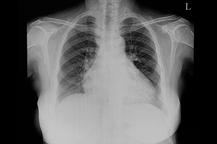
Pembengkakan jantung, atau kardiomegali, terjadi ketika jantung membesar karena beban kerja yang meningkat. Hal ini bisa terjadi akibat berbagai faktor, termasuk tekanan darah tinggi, penyakit jantung koroner, atau gangguan irama jantung. Kondisi ini membuat jantung kesulitan dalam memompa darah ke seluruh tubuh, sehingga menyebabkan penumpukan cairan dan rasa sesak napas.
Ada dua jenis utama pembengkakan jantung, yaitu hipertrofi dan dilatasi. Hipertrofi terjadi ketika otot jantung menebal, sedangkan dilatasi terjadi ketika ruang jantung melebar. Kedua kondisi ini merupakan respons alami dari jantung terhadap beban kerja yang berlebihan. Meski tidak selalu menimbulkan gejala, kondisi ini tetap perlu diperiksa melalui pemeriksaan medis seperti rontgen dada atau USG jantung.
Menurut data terbaru dari World Health Organization (WHO), kardiomegali merupakan salah satu penyebab utama gagal jantung. Oleh karena itu, penting untuk segera mengenali gejala dan mencari pengobatan yang tepat.
Gejala Pembengkakan Jantung yang Perlu Diwaspadai
Gejala pembengkakan jantung bisa sangat bervariasi, tergantung pada penyebabnya. Beberapa gejala umum yang sering dialami oleh penderita kardiomegali antara lain:
- Sesak napas, terutama saat beraktivitas atau berbaring
- Nyeri dada atau rasa berdebar-debar
- Kaki membengkak karena penumpukan cairan
- Berat badan bertambah tanpa alasan jelas
- Kelelahan yang berlebihan meskipun tidak melakukan aktivitas berat
- Napas pendek atau sulit bernapas
Jika Anda mengalami gejala-gejala tersebut, segera konsultasikan dengan dokter spesialis jantung. Diagnosis dini sangat penting untuk mencegah komplikasi yang lebih serius.
Penyebab Pembengkakan Jantung yang Umum
Banyak faktor bisa menyebabkan pembengkakan jantung. Beberapa penyebab utama meliputi:
- Hipertensi Pulmonal: Tekanan darah tinggi di arteri paru-paru yang bisa menyebabkan jantung bekerja lebih keras.
- Penyakit Jantung Koroner: Gangguan aliran darah ke jantung yang bisa menyebabkan jantung membesar.
- Efusi Perikardium: Cairan berlebih di kantung jantung yang mengganggu fungsi jantung.
- Anemia: Kurangnya sel darah merah yang bisa menyebabkan jantung bekerja lebih keras.
- Obesitas: Berat badan berlebih meningkatkan beban kerja jantung.
- Gangguan Tiroid: Kelenjar tiroid yang tidak berfungsi normal bisa memengaruhi detak jantung.
- Hamil: Peningkatan volume darah selama kehamilan bisa menyebabkan jantung membesar.
Selain itu, faktor usia, kurang olahraga, dan kebiasaan hidup tidak sehat juga bisa menjadi penyebab kardiomegali. Menurut studi terbaru dari American Heart Association (AHA), 1 dari 5 orang dewasa memiliki risiko tinggi mengalami pembengkakan jantung.
Cara Mengatasi Pembengkakan Jantung
Pengobatan untuk pembengkakan jantung tergantung pada penyebabnya. Dokter biasanya akan meresepkan obat-obatan seperti ACE inhibitor, ARB, diuretik, dan antikoagulan. Obat-obatan ini membantu menurunkan tekanan darah, mengurangi penumpukan cairan, dan mencegah pembekuan darah.
Selain obat-obatan, perubahan gaya hidup juga sangat penting. Contohnya:
- Makan makanan rendah garam dan tinggi serat
- Olahraga teratur sesuai rekomendasi dokter
- Hindari rokok dan alkohol
- Kontrol berat badan secara teratur
Dalam beberapa kasus, pasien mungkin membutuhkan prosedur medis seperti pemasangan ring jantung atau operasi jantung.
Pencegahan dan Skrining Jantung
Pencegahan lebih baik daripada pengobatan. Untuk mencegah pembengkakan jantung, lakukan skrining rutin dan perhatikan pola hidup sehat. Beberapa layanan skrining jantung yang tersedia meliputi EKG, USG jantung, treadmill test, dan pemeriksaan darah.
Beberapa rumah sakit seperti RS Royal Progress menawarkan paket check-up jantung dengan harga terjangkau. Misalnya, paket Echocardiography atau USG jantung bisa digunakan untuk mendeteksi kardiomegali lebih dini.
Kesimpulan
Pembengkakan jantung adalah kondisi yang perlu diwaspadai karena bisa menjadi tanda adanya masalah kesehatan yang serius. Dengan pemahaman yang cukup tentang gejala, penyebab, dan pengobatan, kita bisa lebih siap menghadapi risiko kesehatan jantung. Jangan abaikan gejala yang muncul, segera konsultasikan dengan dokter spesialis jantung.
Untuk informasi lebih lanjut tentang pemeriksaan jantung dan pengobatan, kunjungi situs resmi RS Royal Progress atau hubungi IGD 24 jam mereka.
[LINK: https://www.rsp.com/heart-health-checkup]

